系统工具
《飞图影像》是一款助力医生不受时空限制调阅影像数据的软件。借助它,医生能更便捷地查看患者的CT影像并撰写影像报告,还可通过平台与其他医生开展远程交流协作,从而提升自身的专业知识与技能水平。
这款专为医疗工作者设计的影像管理工具,能够安全存储并提供专业的医学影像资料,聚焦于影像检查、诊断辅助、学术研讨以及远程会诊等核心功能。
这款面向医疗工作者的移动端应用,集成了远程办公、同行交流、临床协作等多元化功能模块,能有效适配忙碌的临床工作场景,成为医师群体提升工作效率的实用工具。
【移动办公】可随时随地调阅影像数据,无论是在院内还是院外场景,都能轻松完成阅片与报告撰写工作。
在医疗协作场景中,当遇到诊断难度较高的病例时,可向上级医师或专业领域的专家发起协作需求,借助远程方式获取专业诊断支持。
【交流研讨】和其他医生分享病例,开展专业研讨与学术交流活动,以此提升自身的专业技能水平。
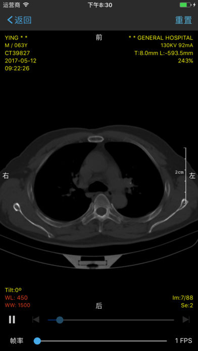
【原始数据与高清影像】采用DICOM格式,完整留存信息细节,具备更高精度;
【功能丰富,实用强大】支持WL调节、测量、角度计算、CT值获取、图像旋转等多种操作;
【操作简便,轻松上手】契合医生使用习惯,无需复杂学习流程;
借助先进的图形处理单元运算能力、影像提前加载机制以及本地存储技术,确保内容传输与打开瞬间完成,全程运行如丝般顺滑,彻底告别画面卡顿、模糊不清以及长时间加载等待的困扰。
通过多维度的安全保障机制,对相关信息进行严谨的资质核验与双重身份确认,避免数据被不当利用;同时采用加密技术保障信息传递过程,有效防范信息泄露风险。
v1.4.1版本更新
1、新增写报告功能;
2、影像加载的优化;
3、上一版本bug的修复。
《ArcRaiders》势头迅猛,Steam峰值突破41万
《Arc Raiders》势头愈发强劲,作为最新的搜打撤游戏
《8号出口》开发商的全新作品更名,讲述逃离巨怪栖息星球的故事
《8号出口》的开发商KOTAKE CREATE通过官方推特宣
《使命召唤:黑色行动7》合作战役终局模式相关情报遭泄露
动视抢先公布了旗下即将推出的第一人称射击游戏《使命召唤:黑色
CKRD再度推出音乐游戏外设,目标群体为热爱打鼓的游戏玩家
CKRD再次展现强劲实力,这家曾推出众多音乐游戏控制器的公司
《英雄联盟》S15决赛马上就要拉开帷幕啦!你觉得哪支队伍能更胜一筹呢?
11月9日15时,KT与T1狭路相逢,英雄联盟S15总决赛震
《胜利女神》全新PV「FACELESSGHOST灵姬还魂夜」
今日,《胜利女神:新的希望》发布剧情PV——「FACELES